Thursday, January 22, 2015

Bamboo Spine

Photos of Bamboo Spine


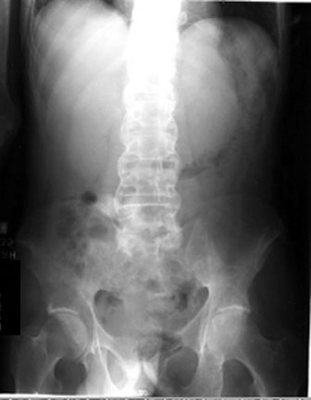
514 CASE REPORT "Bamboo spine" bends / M. Kauppi et al. ture, but it seems to be peculiar to 'bam-boo spine' cases (we previously had a si-milar patient) (3-4, 7). ... Retrieve Here

Types Of Bed Pillows - Bedroom Decorating Ideas And Design
Here is a list of these different types of bed pillows, along with a little information on support and sizes, which will help you find the pillow of your dreams. This pillow contours are perfect for sleepers who prefer a firm pillow or have neck and spine issues. ... Read Article

Images of Bamboo Spine

Spinal Cord Injury, Spinal Fracture, And Spinal Stenosis In ...
Spinal cord injury, spinal fracture, stenosis in ankylosing spondylitis and spinal PHILIP R. WEINSTEIN, M.D., ROBERT R. KARPMAN, M.D., ERIC P. GALL, M.D., AND column ("bamboo" or "poker" spine), often severely deformed by exaggerated thoracic kyphosis ... Fetch Document

Feng Shui Cures For Harmony And Balance In Your Home Or Office
Ordinary objects displayed in this gallery represent Feng Shui Cures when they are are placed in the proper sector. ... Read Article

Photos of Bamboo Spine

Ankylosing Spondylitis Genotyping (HLA-B27
HLA-B27 • Qualitative flow cytometry Ankylosing Spondylitis o Late-squaring of vertebral bodies with bamboo spine and complete ankylosis . Genetics. Genes – HLA-B27. Inheritance – multifactorial . Structure/function . Located on chromosome 6 ... Fetch Full Source

Bamboo Spine Pictures

Drs. Shankar Lal Arya, Faisal Shamim, Irfan Ul Haq, Faraz ...
AIRWAY MANAGEMENT IN A PATIENT WITH SEVERE ANKYLOSING SPONDYLITIS (AS) CAUSING “BAMBOO SPINE”: USE OF AINTREE INTUBATION CATHETER (AIC) Drs. Shankar Lal Arya, Faisal Shamim, Irfan Ul haq, Faraz Shafiq ... Retrieve Full Source

Bamboo Spine Photos

Ankylosing Spondylitis (AS) - Houstonrheumatology.com
Ankylosing Spondylitis (AS) Introduction: While AS is not necessarily a household term, it is a common illness, bottom, creating what is known as a “bamboo spine,” which is completely fused. In such individuals, the spine is also brittle and ... Read Content

Pictures of Bamboo Spine

Airway Management In A Patient Of Traumatic Cervical spine ...
Figure-3 “Bamboo Spine” appearance of Ankylosing spondylitis. III. Discussion: AFI in ankylosed spine or a C-Spine injury is considered as a gold standard.However its successful execution requires a significant background experience and high clinical expertise. ... Retrieve Content

Bamboo Spine Photos

BAMBOO SPINE: QUICK FACTS - Marissa Fourie Physioterapy
BAMBOO SPINE: QUICK FACTS What is “bamboo spine”? Ankylosing spondylitis (AS) is a lifelong disease which causes inflammation in the spine on an ... Read Document

Pictures of Bamboo Spine

00 Anesthetic Considerations In Severe Ankylosing
Keywords: Ankylosing spondylitis, bamboo spine, airway management Anesthetic Considerations The most common presenting symptom of patients with ankylosing spondylitis is low back pain. The pain pattern is a characteristic of bilateral sacroiliitis. ... Fetch Full Source

Pictures of Bamboo Spine

Ankylosing Spondylitis (spondylitis Ankylopoietica, Bechterew ...
Ankylosing spondylitis (spondylitis ankylopoietica, Bechterew’s syndrome, spondylitis ankylosans) · Inflammatory diseases G 03 1 referred to as a “bamboo spine” in the advanced stage. • Pelvis and lumbar spine showing slight degenerative changes ... Fetch Doc

Best Hikes And Treks In China - Gochina.about.com
Best Hikes and Treks in China. By Sara Naumann. China Travel Expert Share Pin Tweet Submit Stumble Post Hiking the Bamboo Forests of Moganshan View of hikers along the spine of Tianyou Peak, Wuyishan. Photo by Sara Naumann. All rights reserved. ... Read Article

Images of Bamboo Spine

Bamboo Spine Mimicking Bekhterev’s Disease Caused By Long ...
Letters to the Editor 453 and these radiographs just showed minor changes in-terpreted as normal. In patient 2 baseline X-rays were not performed. ... Fetch This Document

Images of Bamboo Spine

Spondylitis Diseases Sacroiliitis - Columbia University
Forms a “bamboo spine”, osteoporosis develops Spondylitis leads to the development of syndesmophytes and ankylosis ASp The subchondral regions of the synarthrotic SI joints are invaded by T cells leading to the formulation of granulation tissue ... Get Doc

Bamboo Spine Images

Diffuse Idiopathic Skeletal Hyperostosis - Wikipedia, The ...
Diffuse idiopathic skeletal hyperostosis (DISH, also known as Forestier's disease, senile ankylosing spondylosis, and ankylosing hyperostosis) is a non-inflammatory spondyloarthropathy of the spine. ... Read Article

Bamboo Spine Pictures

Astonishing, Rare Images Of The Vietnam War From The Winning Side
1972 Activists meet in the Nam Can forest, wearing masks to hide their identities from one another in case of capture and interrogation. From here in the mangrove swamps of the Mekong Delta, forwarding images to the North was difficult. "Sometimes the photos were lost or confiscated on the way," said the photographer. Image: Vo Anh Khanh/Another Vietnam/National Geographic Books For much of the ... Read News

Internal Rot - Blessed With Light - YouTube
Internal Rot - Blessed With Light The Grind Show. Subscribe Subscribed Unsubscribe 9,931 9K. Loading Loading Working Add to. Want to watch this again later? Internal Rot - Bamboo Spine - Duration: 1:11. The Grind Show 1,273 views. ... View Video

Images of Bamboo Spine

Laminating bamboo Part 2 - Nafka
Nov 2004 LAMINATING A BAMBOO SPINE - PART 2 - By Bruce Lambert kitefighter@nwinfo.net An interesting aspect of one person's ideas is that they often spark new ideas, especially ... Return Document

Bamboo Spine


SAJR September 2012 Vol. 16 No. 3 111 PICTORIAL ESSAY Ankylosing spondylitis (AS) is one of the sero-negative spondylo-arthropathies.1 This group of arthritides is characterised by specific ... Access Content

Bamboo Arrow Review - YouTube
I needed arrows - my carbons were getting slowly beaten up and destroyed, and my wood arrows were wildly inconsistent in spine and weight. It seemed logical ... View Video

Images of Bamboo Spine

Successful Spinal Anesthesia In A Case Of Ankylosing Spondylitis
Ankylosing spondylitis is one of the group of seroneg - classic "bamboo spine" appearance, make the placement of a spinal or epidural needle difficult or impossible (4, 8). Here, we present a case of ankylosing spondylitis with ... Fetch Doc

Images of Bamboo Spine

LAMINATING A BAMBOO SPINE - Nafka
LAMINATING A BAMBOO SPINE By Bruce Lambert kitefighter@nwinfo.net There is one aspect of bamboo spines in fighter kites I have never liked. ... Get Doc

Pictures of Bamboo Spine

WCMC bamboo Cover/spine V7 - Our Planet
TT he bamboo plant supports an international trade which (even according to our currently imperfect trade statistics) is worth more than US$ 2 billion ... Access Full Source

Pictures of Bamboo Spine

PowerPoint Presentation
Bamboo spine and bilateral sacroiliitis. X-ray . showing syndesmophytes . Even in patients with longer-standing disease, syndesmophytes are present in ... Get Document

Bamboo Arrows Part 5 - YouTube
Part 5 You may want to fast forward thru some of these. New to video recording and I tend to ramble on. I am new to making bamboo arrows, but have made hundreds of wood ... View Video

Bamboo Spine Images

Fighter Kite - Wikipedia, The Free Encyclopedia
The spine may still be bamboo, but often along with the bow is constructed of fiberglass or carbon fiber. Bridle position, spine curve, center of gravity, and balance of tension on the spars all play a role in how the kite spins and tracks. ... Read Article

Photos of Bamboo Spine

Bamboo Spine Album - StampingPro.com
Bamboo Spine Album A unique way to showcase those special moments Supplies: 1/2 of a Simply Scrappin’ Kit (will make 2 albums) 12” Paper Cutter w/ both cutting and scoring blade ... Document Viewer

Bamboo Spine Images

Familial Presentation Of bamboo Spine, Peripheral ...
Familial presentation of bamboo spine, peripheral calcifications, and normal sacroiliac joints AJW Branten1,2, AJL de Jong1, M Janssen1 1Department of Rheumatology Rijnstate Hospital, Arnhem, and 2Department of Rheumatology, Jeroen Bosch Hospital, ‘s-Hertogenbosch, ... Get Doc

Images of Bamboo Spine

Bookbinding - Wikipedia, The Free Encyclopedia
Bookbinding is the process of physically assembling a book from an ordered stack of paper sheets that are folded together into sections or sometimes left as a stack of individual sheets. ... Read Article

No comments:

Post a Comment